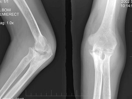
男性患者,有低烧,消廋,胸片示有结核病灶,请结合所提供图像,选择最佳选项 ( )A、未见异常B、类风湿关节炎C、肘关节退行性变D、骨折...

作者: rantiku 人气: - 评论: 0
问题 男性患者,有低烧,消廋,胸片示有结核病灶,请结合所提供图像,选择最佳选项 ( )
选项 A、未见异常 B、类风湿关节炎 C、肘关节退行性变 D、骨折 E、肘关节结核
答案 E
解析

猜你喜欢

发表评论
更多 网友评论0 条评论)
暂无评论

访问排行

Copyright © 2012-2014 恰考网 Inc. 保留所有权利。 Powered by tikuer.com

页面耗时0.0492秒, 内存占用1.03 MB, Cache:redis,访问数据库19次