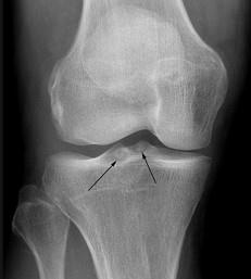
女,65岁,右膝痛,活动受限,请结合图像,选出最可能的诊断 ( )A、类风湿关节炎B、痛风C、创伤性关节炎D、退行性骨关节病 ...

作者: rantiku 人气: - 评论: 0
问题 女,65岁,右膝痛,活动受限,请结合图像,选出最可能的诊断 ( )
选项 A、类风湿关节炎 B、痛风 C、创伤性关节炎 D、退行性骨关节病 E、神经性关节病
答案 D
解析

猜你喜欢

发表评论
更多 网友评论0 条评论)
暂无评论

访问排行

Copyright © 2012-2014 恰考网 Inc. 保留所有权利。 Powered by tikuer.com

页面耗时0.0372秒, 内存占用1.02 MB, Cache:redis,访问数据库14次