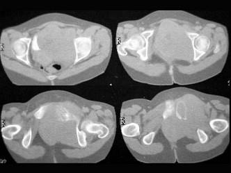
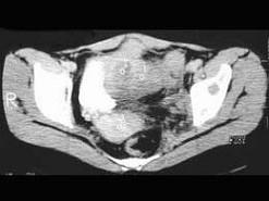
患者,女,54岁,因反复左髋、左下肢疼伴左下肢活动障碍约半年,请结合所提供的图像,选择最佳选项 ( )A、Ewing肉瘤B、骨巨细胞瘤...

作者: rantiku 人气: - 评论: 0
问题 患者,女,54岁,因反复左髋、左下肢疼伴左下肢活动障碍约半年,请结合所提供的图像,选择最佳选项 ( )
选项 A、Ewing肉瘤 B、骨巨细胞瘤 C、滑膜肉瘤 D、骨转移瘤 E、骨髓瘤
答案 A
解析

猜你喜欢

发表评论
更多 网友评论0 条评论)
暂无评论

访问排行

Copyright © 2012-2014 恰考网 Inc. 保留所有权利。 Powered by tikuer.com

页面耗时0.0304秒, 内存占用1.03 MB, Cache:redis,访问数据库18次