女性,52岁,感左小腿肿胀两年余,活动后稍加重,不痛不热,请结合所提供的图像,选择最佳答案 ( )A、大腿囊肿B、大腿脂肪瘤C、大...

作者: rantiku 人气: - 评论: 0
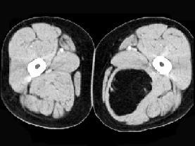
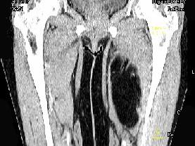
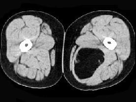
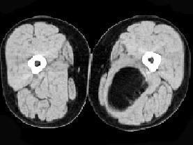
问题 女性,52岁,感左小腿肿胀两年余,活动后稍加重,不痛不热,请结合所提供的图像,选择最佳答案 ( )
选项 A、大腿囊肿 B、大腿脂肪瘤 C、大腿畸胎瘤 D、大腿平滑肌瘤 E、大腿错构瘤
答案 B
解析

猜你喜欢

发表评论
更多 网友评论0 条评论)
暂无评论

访问排行

Copyright © 2012-2014 恰考网 Inc. 保留所有权利。 Powered by tikuer.com

页面耗时0.0414秒, 内存占用1.03 MB, Cache:redis,访问数据库19次