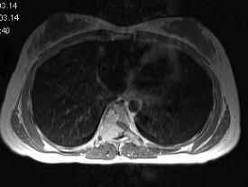
女,18岁,腰以下麻木、双下肢无力,行走困难。PE:双下肢肌力IV+级,肌张力高,腱反射活跃,T以下痛觉消失,深感觉减退,请根据所提供图像,选择最可能的诊...

作者: rantiku 人气: - 评论: 0
问题 女,18岁,腰以下麻木、双下肢无力,行走困难。PE:双下肢肌力IV+级,肌张力高,腱反射活跃,T以下痛觉消失,深感觉减退,请根据所提供图像,选择最可能的诊断 ( )
选项 A、脊膜瘤 B、淋巴瘤 C、骨母细胞瘤 D、骨巨细胞瘤 E、神经鞘瘤
答案 D
解析

猜你喜欢

发表评论
更多 网友评论0 条评论)
暂无评论

访问排行

Copyright © 2012-2014 恰考网 Inc. 保留所有权利。 Powered by tikuer.com

页面耗时0.0644秒, 内存占用1.03 MB, Cache:redis,访问数据库19次