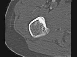
男,28岁,右上肢疼痛,夜间加重,服用止痛药可缓解,结合图像,最可能的诊断是 ( )A、骨囊肿B、成骨细胞瘤C、骨软骨瘤D、骨样骨瘤 ...

作者: rantiku 人气: - 评论: 0
问题 男,28岁,右上肢疼痛,夜间加重,服用止痛药可缓解,结合图像,最可能的诊断是 ( )
选项 A、骨囊肿 B、成骨细胞瘤 C、骨软骨瘤 D、骨样骨瘤 E、骨瘤
答案 D
解析

猜你喜欢

发表评论
更多 网友评论0 条评论)
暂无评论

访问排行

Copyright © 2012-2014 恰考网 Inc. 保留所有权利。 Powered by tikuer.com

页面耗时0.0475秒, 内存占用1.03 MB, Cache:redis,访问数据库19次