男,34岁,大腿下段疼痛2年,可摸到肿块,请结合所提供图像,选择最佳选项 ( )A、纤维肉瘤B、巨细胞瘤C、软骨肉瘤D、软骨瘤...

作者: rantiku 人气: - 评论: 0
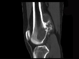
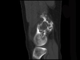
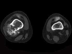
问题 男,34岁,大腿下段疼痛2年,可摸到肿块,请结合所提供图像,选择最佳选项 ( )
选项 A、纤维肉瘤 B、巨细胞瘤 C、软骨肉瘤 D、软骨瘤 E、骨肉瘤
答案 C
解析

猜你喜欢

发表评论
更多 网友评论0 条评论)
暂无评论

访问排行

Copyright © 2012-2014 恰考网 Inc. 保留所有权利。 Powered by tikuer.com

页面耗时0.0296秒, 内存占用1.03 MB, Cache:redis,访问数据库14次