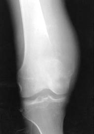
股骨下端肿瘤生长迅速,局部疼痛逐渐加重,有夜间痛,局部皮温增高,关节活动受限,X线检查有骨质破坏和骨膜反应(如图),最可能是 ( )A、骨肉瘤B、...

作者: rantiku 人气: - 评论: 0
问题 股骨下端肿瘤生长迅速,局部疼痛逐渐加重,有夜间痛,局部皮温增高,关节活动受限,X线检查有骨质破坏和骨膜反应(如图),最可能是 ( )
选项 A、骨肉瘤 B、骨髓瘤 C、软骨瘤 D、骨软骨瘤 E、骨瘤
答案 A
解析

猜你喜欢

发表评论
更多 网友评论0 条评论)
暂无评论

访问排行

Copyright © 2012-2014 恰考网 Inc. 保留所有权利。 Powered by tikuer.com

页面耗时0.0459秒, 内存占用1.03 MB, Cache:redis,访问数据库18次