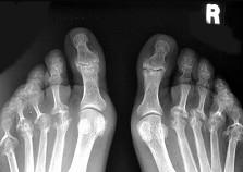
女,52岁,足跟痛,手指运动僵硬,请结合影像图像,选择最可能的诊断 ( )A、骨折B、类风湿关节炎C、骨脓肿D、骨囊肿E、骨质疏松

作者: rantiku 人气: - 评论: 0
问题 女,52岁,足跟痛,手指运动僵硬,请结合影像图像,选择最可能的诊断 ( )
选项 A、骨折 B、类风湿关节炎 C、骨脓肿 D、骨囊肿 E、骨质疏松
答案 B
解析

猜你喜欢

发表评论
更多 网友评论0 条评论)
暂无评论

访问排行

Copyright © 2012-2014 恰考网 Inc. 保留所有权利。 Powered by tikuer.com

页面耗时0.0983秒, 内存占用1.03 MB, Cache:redis,访问数据库20次