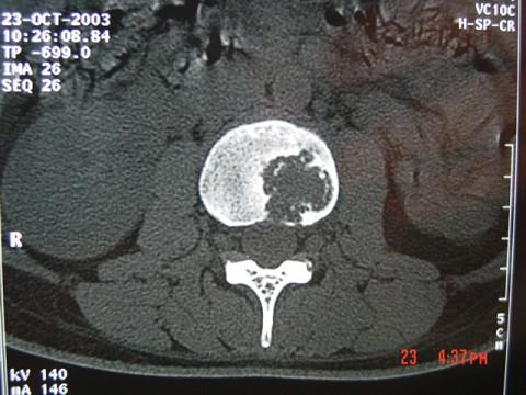
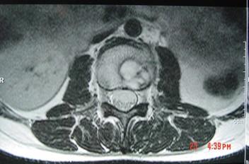
男,33岁,有午后发热,夜间盗汗等,腰部疼痛,活动时加重,休息后减轻,请结合所提供图像,选择最佳答案 ( )A、骨巨细胞瘤B、骨髓瘤 ...

作者: rantiku 人气: - 评论: 0
问题 男,33岁,有午后发热,夜间盗汗等,腰部疼痛,活动时加重,休息后减轻,请结合所提供图像,选择最佳答案 ( )
选项 A、骨巨细胞瘤 B、骨髓瘤 C、腰椎骨转移 D、腰椎退行性变 E、腰椎结核
答案 E
解析

猜你喜欢

发表评论
更多 网友评论0 条评论)
暂无评论

访问排行

Copyright © 2012-2014 恰考网 Inc. 保留所有权利。 Powered by tikuer.com

页面耗时0.0401秒, 内存占用1.03 MB, Cache:redis,访问数据库20次