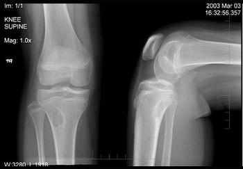
左膝关节酸胀不适,摄片发现左胫骨上段局限性骨质改变如图示,最可能的诊断是 ( )A、骨软骨瘤B、骨肉瘤C、骨化性纤维瘤D、内生软骨瘤E...

作者: rantiku 人气: - 评论: 0
问题 左膝关节酸胀不适,摄片发现左胫骨上段局限性骨质改变如图示,最可能的诊断是 ( )
选项 A、骨软骨瘤 B、骨肉瘤 C、骨化性纤维瘤 D、内生软骨瘤 E、非骨化性纤维瘤
答案 E
解析

猜你喜欢

发表评论
更多 网友评论0 条评论)
暂无评论

访问排行

Copyright © 2012-2014 恰考网 Inc. 保留所有权利。 Powered by tikuer.com

页面耗时0.0340秒, 内存占用1.03 MB, Cache:redis,访问数据库19次