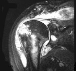
女,71岁,有多年的系统性红斑狼疮病史,高剂量的类固醇服用史,左肩痛,请结合图像,选出最可能的诊断 ( )A、肱骨头缺血坏死B、肩关节...

作者: rantiku 人气: - 评论: 0
问题 女,71岁,有多年的系统性红斑狼疮病史,高剂量的类固醇服用史,左肩痛,请结合图像,选出最可能的诊断 ( )
选项 A、肱骨头缺血坏死 B、肩关节结核 C、类风湿关节炎 D、骨纤维肉瘤 E、化脓性关节炎
答案 B
解析

猜你喜欢

发表评论
更多 网友评论0 条评论)
暂无评论

访问排行

Copyright © 2012-2014 恰考网 Inc. 保留所有权利。 Powered by tikuer.com

页面耗时0.0795秒, 内存占用1.03 MB, Cache:redis,访问数据库20次