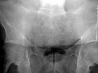
男,48岁,背痛,四肢强直,请结合影像图像,选择最可能的诊断 ( )A、骨脓肿B、骨软骨瘤C、压缩性骨折D、骨囊肿E、强直性脊柱炎

作者: rantiku 人气: - 评论: 0
问题 男,48岁,背痛,四肢强直,请结合影像图像,选择最可能的诊断 ( )
选项 A、骨脓肿 B、骨软骨瘤 C、压缩性骨折 D、骨囊肿 E、强直性脊柱炎
答案 E
解析

猜你喜欢

发表评论
更多 网友评论0 条评论)
暂无评论

访问排行

Copyright © 2012-2014 恰考网 Inc. 保留所有权利。 Powered by tikuer.com

页面耗时0.0517秒, 内存占用1.03 MB, Cache:redis,访问数据库14次