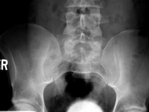
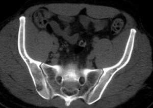
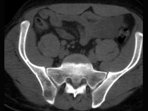
女,38岁,腰背和右侧骶髂关节痛,请结合图像,选出最可能的诊断 ( )A、骨巨细胞瘤B、骨髓瘤C、类风湿关节炎D、右髂骨结核E...

作者: rantiku 人气: - 评论: 0
问题 女,38岁,腰背和右侧骶髂关节痛,请结合图像,选出最可能的诊断 ( )
选项 A、骨巨细胞瘤 B、骨髓瘤 C、类风湿关节炎 D、右髂骨结核 E、化脓性关节炎
答案 D
解析

猜你喜欢

发表评论
更多 网友评论0 条评论)
暂无评论

访问排行

Copyright © 2012-2014 恰考网 Inc. 保留所有权利。 Powered by tikuer.com

页面耗时0.0371秒, 内存占用1.03 MB, Cache:redis,访问数据库15次