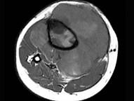
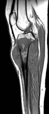
男,35岁,胫骨中上段剧烈疼痛,尤以夜间明显,可摸到肿物,请结合图像,选择最佳选项 ( )A、骨肉瘤B、骨巨细胞瘤C、软骨肉瘤...

作者: rantiku 人气: - 评论: 0
问题 男,35岁,胫骨中上段剧烈疼痛,尤以夜间明显,可摸到肿物,请结合图像,选择最佳选项 ( )
选项 A、骨肉瘤 B、骨巨细胞瘤 C、软骨肉瘤 D、骨转移瘤 E、软骨瘤
答案 A
解析

猜你喜欢

发表评论
更多 网友评论0 条评论)
暂无评论

访问排行

Copyright © 2012-2014 恰考网 Inc. 保留所有权利。 Powered by tikuer.com

页面耗时0.0440秒, 内存占用1.03 MB, Cache:redis,访问数据库20次