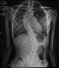
病历摘要: 患者××,女,17岁,发现剃刀背畸形3个月。查体:脊柱胸段向右侧凸,腰段向左侧凸,右胸廓呈剃刀背畸形,双下肢未见明显异常。脊柱侧弯的手...

作者: rantiku 人气: - 评论: 0
问题 病历摘要: 患者××,女,17岁,发现剃刀背畸形3个月。查体:脊柱胸段向右侧凸,腰段向左侧凸,右胸廓呈剃刀背畸形,双下肢未见明显异常。 脊柱侧弯的手术并发症?
选项 A、感染 B、断钉断棒 C、假关节形成 D、融合失败 E、脱钩脱钉矫正失败 F、曲轴现象 G、脊髓损伤引起的截瘫
答案 ABCDEFG
解析 ABCDEFG

猜你喜欢

发表评论
更多 网友评论0 条评论)
暂无评论

访问排行

Copyright © 2012-2014 恰考网 Inc. 保留所有权利。 Powered by tikuer.com

页面耗时0.0514秒, 内存占用1.03 MB, Cache:redis,访问数据库19次