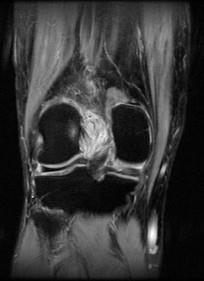
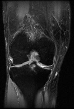
男,50岁,膝关节侧方疼痛,请结合影像图像,选择最可能的诊断 ( )A、前十字韧带囊肿B、膝关节腔积液C、滑膜型关节结核D、前...

作者: rantiku 人气: - 评论: 0
问题 男,50岁,膝关节侧方疼痛,请结合影像图像,选择最可能的诊断 ( )
选项 A、前十字韧带囊肿 B、膝关节腔积液 C、滑膜型关节结核 D、前十字韧带黏液样变性 E、化脓性关节炎
答案 D
解析

猜你喜欢

发表评论
更多 网友评论0 条评论)
暂无评论

访问排行

Copyright © 2012-2014 恰考网 Inc. 保留所有权利。 Powered by tikuer.com

页面耗时0.0388秒, 内存占用1.03 MB, Cache:redis,访问数据库20次