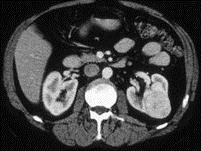
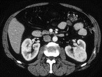
女,47岁,左侧腰部隐痛不适2 月余,请结合下列图片作出诊断 ( )A、左肾炎性包块B、左肾感染性囊肿C、左肾血管平滑肌脂肪瘤D、左肾...

作者: rantiku 人气: - 评论: 0
问题 女,47岁,左侧腰部隐痛不适2 月余,请结合下列图片作出诊断 ( )
选项 A、左肾炎性包块 B、左肾感染性囊肿 C、左肾血管平滑肌脂肪瘤 D、左肾出血性囊肿 E、左肾癌
答案 E
解析

猜你喜欢

发表评论
更多 网友评论0 条评论)
暂无评论

访问排行

Copyright © 2012-2014 恰考网 Inc. 保留所有权利。 Powered by tikuer.com

页面耗时0.1030秒, 内存占用1.03 MB, Cache:redis,访问数据库18次