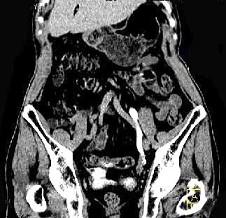
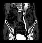
男,76岁,无痛性肉眼血尿3个月,CT检查如图所示,下列说法错误的是 ( )A、考虑为左侧输尿管炎B、考虑为左侧输尿管下段癌C、左侧输...

作者: rantiku 人气: - 评论: 0
问题 男,76岁,无痛性肉眼血尿3个月,CT检查如图所示,下列说法错误的是 ( )
选项 A、考虑为左侧输尿管炎 B、考虑为左侧输尿管下段癌 C、左侧输尿管中上段扩张 D、左侧输尿管下段可见节段状不规则的软组织肿块影 E、左侧肾盂扩张积水
答案 A
解析

猜你喜欢

发表评论
更多 网友评论0 条评论)
暂无评论

访问排行

Copyright © 2012-2014 恰考网 Inc. 保留所有权利。 Powered by tikuer.com

页面耗时0.0536秒, 内存占用1.03 MB, Cache:redis,访问数据库19次