男,60岁。尿频,淋漓不尽半年余。MRI扫描见前列腺明显增大并突入膀胱,最可能的诊断是 ( )A、膀胱乳头状瘤B、未见异常C、前列腺癌...

作者: rantiku 人气: - 评论: 0
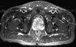
问题 男,60岁。尿频,淋漓不尽半年余。MRI扫描见前列腺明显增大并突入膀胱,最可能的诊断是 ( )
选项 A、膀胱乳头状瘤 B、未见异常 C、前列腺癌 D、膀胱癌 E、前列腺增生
答案 E
解析

猜你喜欢

发表评论
更多 网友评论0 条评论)
暂无评论

访问排行

Copyright © 2012-2014 恰考网 Inc. 保留所有权利。 Powered by tikuer.com

页面耗时0.0385秒, 内存占用1.03 MB, Cache:redis,访问数据库13次