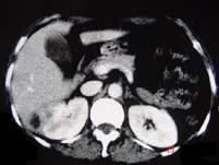
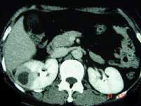
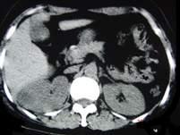
女,12岁,右腰部疼痛10天,尿检可见大量的脓细胞CT平扫+增强如图所示,应诊断为 ( )A、右侧肾癌B、右肾结核C、右侧感染性肾囊肿...

作者: rantiku 人气: - 评论: 0
问题 女,12岁,右腰部疼痛10天,尿检可见大量的脓细胞CT平扫+增强如图所示,应诊断为 ( )
选项 A、右侧肾癌 B、右肾结核 C、右侧感染性肾囊肿 D、右肾转移瘤 E、右肾脓肿
答案 E
解析

猜你喜欢

发表评论
更多 网友评论0 条评论)
暂无评论

访问排行

Copyright © 2012-2014 恰考网 Inc. 保留所有权利。 Powered by tikuer.com

页面耗时0.0551秒, 内存占用1.03 MB, Cache:redis,访问数据库14次