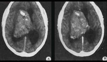
关于畸胎瘤(如图所示)的描述不正确的是()A.CT值可低度于脑脊液,也可高至接近骨质B.良性畸胎瘤境界清楚,有完整包膜C.通常由2~3个胚层来...

作者: rantiku 人气: - 评论: 0
问题 关于畸胎瘤(如图所示)的描述不正确的是()
选项 A.CT值可低度于脑脊液,也可高至接近骨质 B.良性畸胎瘤境界清楚,有完整包膜 C.通常由2~3个胚层来源的组织构成 D.导致性发育迟缓 E.出现未成熟组织意味恶性程度高
答案 E
解析

猜你喜欢

发表评论
更多 网友评论0 条评论)
暂无评论

访问排行

Copyright © 2012-2014 恰考网 Inc. 保留所有权利。 Powered by tikuer.com

页面耗时0.0591秒, 内存占用1.03 MB, Cache:redis,访问数据库19次