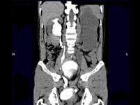
男,55岁,尿频,尿痛伴低热乏力1月。如图所示,下列说法正确的是 ( )A.左侧输尿管多发性狭窄B.右侧肾积水C.膀胱变形D....

作者: rantiku 人气: - 评论: 0
问题 男,55岁,尿频,尿痛伴低热乏力1月。如图所示,下列说法正确的是 ( )
选项 A.左侧输尿管多发性狭窄 B.右侧肾积水 C.膀胱变形 D.左侧输尿管结核 E.左侧输尿管癌
答案 ABCD
解析

猜你喜欢

发表评论
更多 网友评论0 条评论)
暂无评论

访问排行

Copyright © 2012-2014 恰考网 Inc. 保留所有权利。 Powered by tikuer.com

页面耗时0.0414秒, 内存占用1.03 MB, Cache:redis,访问数据库14次