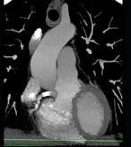
下面一组图像应考虑为 ( )A、左前降支钙化B、左旋支钙化C、正常的左前降支D、右侧冠状动脉钙化E、正常的右侧冠状动脉
猜你喜欢
- 治疗血虚或气血双亏者宜选用()。A.人参配蛤蚧
B.黄芪配柴胡、升麻
C.人参配附子
D.当归配黄芪
E.人参配麦冬、五味子
- 牛奶和酒类的常用消毒方法是A:巴氏消毒法B:流通蒸汽法C:高压蒸汽灭菌法D:冷冻法E:超声波
- 3, 10,15,26,( )A.35 B.34 C.33 D.32
- 流通国债是指可以在流通市场上交易的国债,它具有( )等特点。A:自由转让B:主要吸纳个人小额储蓄资金C:转让价格取决于该国债的供给与需求D:自由认购
- 一般资料:张某,女性,17岁.,高三学生,住校。 案例介绍:张某原本学习认真,乐观开朗,热情助人,人际关系良好,很受同学的欢迎。但最近一段时间同学们纷...
- 普萘洛尔的降压作用机制是( )A.阻止进入血管平滑肌细胞B.阻断中枢神经系统、心脏、肾脏外周突触前膜的受体C.抑制血管紧张素I转换酶D....
- 已知边DMN= 73.469m5方位角aMN=115°18'12'',则ΔxMN和ΔyMN分别为: A. +31. 401m,+66. 420m...
- 下列选项中,属于证券公司分支机构的是()。A、资产管理子公司 B、直接投资业务子公司 C、期货子公司 D、从事业务经营活动的分公司
- 甲企业为增值税一般纳税人,适用的增值税税率为17%,该企业2016年有关情况如下:
(1)本年销售商品收到货款2 200万元,以前年度销售商品本年收回货...
- 根据《合同法》,债权人将合同中的权利转让给第三人的,( )。A.需经债务人同意,且需办理公证手续
B.无需经债务人同意,也不必通知债务人
C.无需债务...