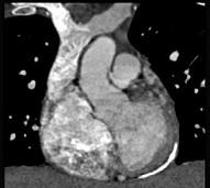
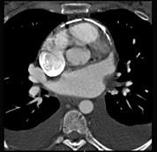
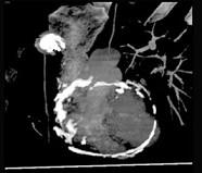
男性45岁,心悸气促乏力,下肢肿胀半年余,曾患肺结核,胸部CT扫描如图所示,请选择正确的选项为 ( )A、X线、CT为常用检查方法B、...
相关内容:男性,气促,下肢,半年,曾患,肺结核,胸部,扫描,如图,选项,常用,检查,方法
猜你喜欢
- 下列选项中,属于电子商务引发企业管理思想变化的是( )。A.全球化观念
B.快速化观念
C.标准化观念
D.注重人才观念
E.轻量化观念
- 为使期货套利者最大限度地规避可能发生的风险,提高获利机会,期货套利交易者在实际操作过程中应该注意()。A:开仓时同时买入、卖出,平仓时也同时卖出、买入
...
- 肺炎患者出现的高热呈A.回归热
B.间歇热
C.稽留热
D.弛张热
E.不规则热
- 关于孢子丝菌,叙述错误的是A.感染的主要病原菌是申克孢子丝菌B.申克孢子丝菌是二相性真菌C.组织相可见卵圆形小体位于中性粒细胞内D.在胱氨酸葡...
- A.参苓白术散B.补中益气汤C.生脉散D.四君子汤E.玉屏风散补气固表止汗的方剂是
- 人格障碍是长期固定的适应不良的行为模式,由不成熟的不适当的( )或问题解决方式所构成。
- 患者50岁,月经3-5/30-90天,量中,接触性出血半年,白带多,稀.妇查:外阴阴道(-),宫颈重糜,质偏硬,肥大,接触及出血,宫体前位,质地、大小正常...
- 药物的副作用是指( )。A. 药物剂量过大引起的反应
B. 长期用药所产生的反应
C. 药物在治疗量时产生与防治作用无关的反应
D. 属于一种与遗...
- A.急性肾小球肾炎B.肾病综合征C.急进性肾小球肾炎D.慢性肾炎E.隐匿性肾炎起病急,水肿,少尿,尿蛋白+++,红细胞+++( )
- 可用于电子设备的金属基复合材料是()。A.铝合金 B.钛合金 C.镁合金 D.铜和铜合金