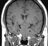
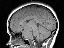
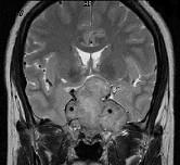
女,26岁,垂体腺瘤切除术后,左眼视物模糊,请根据所提供图像,选择最可能的诊断()A.鞍区脑膜瘤B.(垂体)复发性嫌色细胞腺瘤C.脊索...

作者: rantiku 人气: - 评论: 0
问题 女,26岁,垂体腺瘤切除术后,左眼视物模糊,请根据所提供图像,选择最可能的诊断()
选项 A.鞍区脑膜瘤 B.(垂体)复发性嫌色细胞腺瘤 C.脊索瘤 D.神经纤维瘤 E.颅咽管瘤
答案 B
解析

猜你喜欢

发表评论
更多 网友评论0 条评论)
暂无评论

访问排行

Copyright © 2012-2014 恰考网 Inc. 保留所有权利。 Powered by tikuer.com

页面耗时0.0410秒, 内存占用1.03 MB, Cache:redis,访问数据库19次