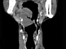
男,74岁,咽喉部不适一年余,近两三个月咽喉疼痛,吞咽困难,CT如图所示,最可能诊断是()A.喉癌B.会厌癌C.声带癌D.声门...

作者: rantiku 人气: - 评论: 0
问题 男,74岁,咽喉部不适一年余,近两三个月咽喉疼痛,吞咽困难,CT如图所示,最可能诊断是()
选项 A.喉癌 B.会厌癌 C.声带癌 D.声门下区癌 E.跨声门型癌
答案 B
解析

猜你喜欢

发表评论
更多 网友评论0 条评论)
暂无评论

访问排行

Copyright © 2012-2014 恰考网 Inc. 保留所有权利。 Powered by tikuer.com

页面耗时0.0412秒, 内存占用1.03 MB, Cache:redis,访问数据库20次