女性,41岁,鼻腔流脓涕3年,鼻部面部肿胀1年,近来加重,MRI检查如图,请选择最可能诊断()A.鼻腔内囊肿B.鼻腔内出血C.鼻腔...

作者: rantiku 人气: - 评论: 0
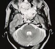
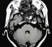
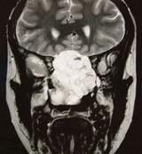
问题 女性,41岁,鼻腔流脓涕3年,鼻部面部肿胀1年,近来加重,MRI检查如图,请选择最可能诊断()
选项 A.鼻腔内囊肿 B.鼻腔内出血 C.鼻腔软骨瘤 D.鼻咽癌 E.鼻腔血管瘤
答案 C
解析

猜你喜欢

发表评论
更多 网友评论0 条评论)
暂无评论

访问排行

Copyright © 2012-2014 恰考网 Inc. 保留所有权利。 Powered by tikuer.com

页面耗时0.0310秒, 内存占用1.03 MB, Cache:redis,访问数据库19次