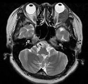
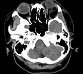
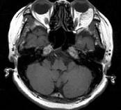
女,52岁,左眼球突出二十余年,T、T均正常,影像检查如图所示,应诊断为()A.错构瘤B.脂肪瘤C.畸胎瘤D.血管瘤E.炎性假瘤

作者: rantiku 人气: - 评论: 0
问题 女,52岁,左眼球突出二十余年,T、T均正常,影像检查如图所示,应诊断为()
选项 A.错构瘤 B.脂肪瘤 C.畸胎瘤 D.血管瘤 E.炎性假瘤
答案 A
解析

猜你喜欢

发表评论
更多 网友评论0 条评论)
暂无评论

访问排行

Copyright © 2012-2014 恰考网 Inc. 保留所有权利。 Powered by tikuer.com

页面耗时0.0560秒, 内存占用1.03 MB, Cache:redis,访问数据库14次