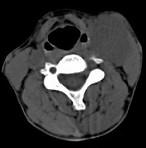
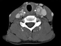
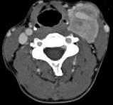
女,39岁,左颈部可扪及一肿块,无发热,无疼痛,CT如图所示,最可能的诊断是()A.颈部神经鞘瘤B.颈动脉体瘤C.颈部神经纤维瘤 ...

作者: rantiku 人气: - 评论: 0
问题 女,39岁,左颈部可扪及一肿块,无发热,无疼痛,CT如图所示,最可能的诊断是()
选项 A.颈部神经鞘瘤 B.颈动脉体瘤 C.颈部神经纤维瘤 D.颈部海绵状血管瘤 E.颈动脉瘤
答案 B
解析

猜你喜欢

发表评论
更多 网友评论0 条评论)
暂无评论

访问排行

Copyright © 2012-2014 恰考网 Inc. 保留所有权利。 Powered by tikuer.com

页面耗时0.0469秒, 内存占用1.03 MB, Cache:redis,访问数据库19次