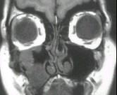
女性,50岁,右鼻塞、脓涕3个月,CT、MRI检查如图所示,请选择正确的答案()A.右侧上颌窦黏液囊肿B.右侧上颌窦粘膜下囊肿C....

作者: rantiku 人气: - 评论: 0
问题 女性,50岁,右鼻塞、脓涕3个月,CT、MRI检查如图所示,请选择正确的答案()
选项 A.右侧上颌窦黏液囊肿 B.右侧上颌窦粘膜下囊肿 C.右侧上颌窦积液 D.右侧上颌窦黏液腺瘤 E.右侧上颌窦腺样囊性癌
答案 E
解析

猜你喜欢

发表评论
更多 网友评论0 条评论)
暂无评论

访问排行

Copyright © 2012-2014 恰考网 Inc. 保留所有权利。 Powered by tikuer.com

页面耗时0.0506秒, 内存占用1.03 MB, Cache:redis,访问数据库20次