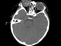
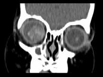
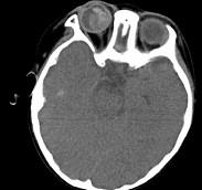
男,2岁、右眼白瞳症1个月,CT影像如图,最可能的诊断为()A.眼球内寄生虫病B.永存原始玻璃体增生症C.脉络膜骨病D.Coa...

作者: rantiku 人气: - 评论: 0
问题 男,2岁、右眼白瞳症1个月,CT影像如图,最可能的诊断为()
选项 A.眼球内寄生虫病 B.永存原始玻璃体增生症 C.脉络膜骨病 D.Coats病 E.视网膜母细胞瘤
答案 E
解析

猜你喜欢

发表评论
更多 网友评论0 条评论)
暂无评论

访问排行

Copyright © 2012-2014 恰考网 Inc. 保留所有权利。 Powered by tikuer.com

页面耗时0.0392秒, 内存占用1.03 MB, Cache:redis,访问数据库20次