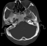
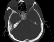
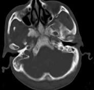
男性,56岁,鼻咽癌放疗后复查,CT扫描如图所示,请选择正确的答案()A.化脓性骨髓炎B.骨结核C.致密性骨炎D.放疗后骨炎E.骨瘤

作者: rantiku 人气: - 评论: 0
问题 男性,56岁,鼻咽癌放疗后复查,CT扫描如图所示,请选择正确的答案()
选项 A.化脓性骨髓炎 B.骨结核 C.致密性骨炎 D.放疗后骨炎 E.骨瘤
答案 D
解析

猜你喜欢

发表评论
更多 网友评论0 条评论)
暂无评论

访问排行

Copyright © 2012-2014 恰考网 Inc. 保留所有权利。 Powered by tikuer.com

页面耗时0.0657秒, 内存占用1.03 MB, Cache:redis,访问数据库20次