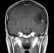
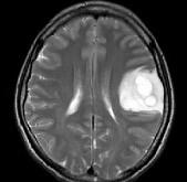
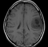
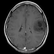
女,33岁,三个月前有右上肢及右颜面部麻木,伴耳鸣及头昏,请根据所提供图像,选择最可能的诊断()A.脑脓肿B.星形细胞瘤C.脑结核...

作者: rantiku 人气: - 评论: 0
问题 女,33岁,三个月前有右上肢及右颜面部麻木,伴耳鸣及头昏,请根据所提供图像,选择最可能的诊断()
选项 A.脑脓肿 B.星形细胞瘤 C.脑结核 D.脑转移瘤 E.脑血吸虫病
答案 B
解析

猜你喜欢

发表评论
更多 网友评论0 条评论)
暂无评论

访问排行

Copyright © 2012-2014 恰考网 Inc. 保留所有权利。 Powered by tikuer.com

页面耗时0.0346秒, 内存占用1.03 MB, Cache:redis,访问数据库19次