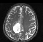
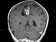
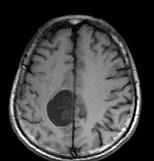
男,68岁,头痛头昏、左侧肢体肌力减退3个月余,请根据所提供图像,选择最可能的诊断()A.(右顶叶镰旁)恶性脑膜瘤B.(右顶叶镰旁)胶...

作者: rantiku 人气: - 评论: 0
问题 男,68岁,头痛头昏、左侧肢体肌力减退3个月余,请根据所提供图像,选择最可能的诊断()
选项 A.(右顶叶镰旁)恶性脑膜瘤 B.(右顶叶镰旁)胶质瘤 C.(右顶叶镰旁)血管外皮瘤 D.(右顶叶镰旁)脑膜瘤(血管瘤型) E.(右顶叶镰旁)转移瘤
答案 D
解析

猜你喜欢

发表评论
更多 网友评论0 条评论)
暂无评论

访问排行

Copyright © 2012-2014 恰考网 Inc. 保留所有权利。 Powered by tikuer.com

页面耗时0.0488秒, 内存占用1.03 MB, Cache:redis,访问数据库19次