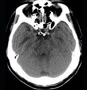
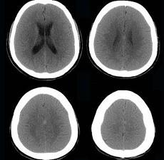
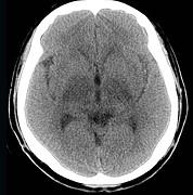
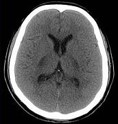
男,57岁,头痛、头晕1周,言语不清,饮水呛咳两天,既往有鼻咽癌病史,给予放射治疗,CT检查如图所示,最可能的诊断为()A.脱髓鞘病变...

作者: rantiku 人气: - 评论: 0
问题 男,57岁,头痛、头晕1周,言语不清,饮水呛咳两天,既往有鼻咽癌病史,给予放射治疗,CT检查如图所示,最可能的诊断为()
选项 A.脱髓鞘病变 B.脑炎 C.放射性脑病 D.脑梗死 E.胶质瘤
答案 C
解析

猜你喜欢

发表评论
更多 网友评论0 条评论)
暂无评论

访问排行

Copyright © 2012-2014 恰考网 Inc. 保留所有权利。 Powered by tikuer.com

页面耗时0.0490秒, 内存占用1.03 MB, Cache:redis,访问数据库20次