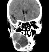
男性,38岁,右侧下颌骨渐进性膨大半年,近来牙齿松动脱落,CT扫描如图所示,请选择最佳答案()A.动脉瘤样骨囊肿B.造釉细胞瘤C.骨软...

作者: rantiku 人气: - 评论: 0
问题 男性,38岁,右侧下颌骨渐进性膨大半年,近来牙齿松动脱落,CT扫描如图所示,请选择最佳答案()
选项 A.动脉瘤样骨囊肿 B.造釉细胞瘤 C.骨软骨瘤 D.牙根囊肿 E.牙龈癌
答案 B
解析

猜你喜欢

发表评论
更多 网友评论0 条评论)
暂无评论

访问排行

Copyright © 2012-2014 恰考网 Inc. 保留所有权利。 Powered by tikuer.com

页面耗时0.0539秒, 内存占用1.03 MB, Cache:redis,访问数据库19次