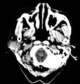
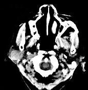
女,72岁,六年前于右面颊部扪及一包块,缓慢增大,其表面较光滑,CT如图所示,该病例应诊断为()A.Worthin瘤B.腮腺混合瘤...

作者: rantiku 人气: - 评论: 0
问题 女,72岁,六年前于右面颊部扪及一包块,缓慢增大,其表面较光滑,CT如图所示,该病例应诊断为()
选项 A.Worthin瘤 B.腮腺混合瘤 C.颈部神经纤维瘤 D.颈部淋巴瘤 E.小涎液腺瘤
答案 B
解析

猜你喜欢

发表评论
更多 网友评论0 条评论)
暂无评论

访问排行

Copyright © 2012-2014 恰考网 Inc. 保留所有权利。 Powered by tikuer.com

页面耗时0.0387秒, 内存占用1.03 MB, Cache:redis,访问数据库17次