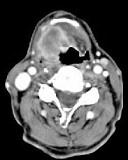
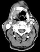
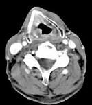
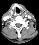
男,63岁,咽喉部不适约1年,近2个月经常咳嗽,痰中带有血丝,CT如图所示,应诊断为()A.梨状窝癌B.声门型喉癌C.声门下型喉癌...

作者: rantiku 人气: - 评论: 0
问题 男,63岁,咽喉部不适约1年,近2个月经常咳嗽,痰中带有血丝,CT如图所示,应诊断为()
选项 A.梨状窝癌 B.声门型喉癌 C.声门下型喉癌 D.声门上型喉癌 E.混合型喉癌
答案 D
解析

猜你喜欢

发表评论
更多 网友评论0 条评论)
暂无评论

访问排行

Copyright © 2012-2014 恰考网 Inc. 保留所有权利。 Powered by tikuer.com

页面耗时0.0496秒, 内存占用1.03 MB, Cache:redis,访问数据库19次