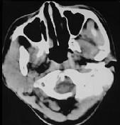
女性,19岁,右侧面颊部肿胀1年,CT检查如图所示,请选择最佳答案()A.右颊部神经纤维瘤B.右颊部血管瘤C.右颊部脂肪瘤D....

作者: rantiku 人气: - 评论: 0
问题 女性,19岁,右侧面颊部肿胀1年,CT检查如图所示,请选择最佳答案()
选项 A.右颊部神经纤维瘤 B.右颊部血管瘤 C.右颊部脂肪瘤 D.右颊部横纹肌肉瘤 E.右颊部血肿
答案 B
解析

猜你喜欢

发表评论
更多 网友评论0 条评论)
暂无评论

访问排行

Copyright © 2012-2014 恰考网 Inc. 保留所有权利。 Powered by tikuer.com

页面耗时0.0622秒, 内存占用1.03 MB, Cache:redis,访问数据库18次