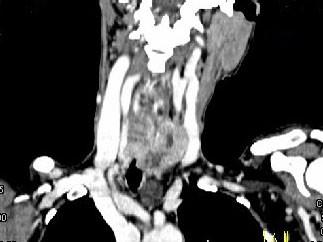
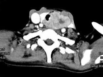
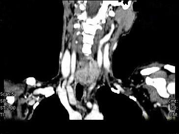
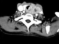
女,50岁,左下颈部扪及一质硬、表面高低不平的包块,肿块逐渐增大,现感吞咽困难,CT如图所示,最可能诊断为()A.甲状腺癌B.食管癌 ...

作者: rantiku 人气: - 评论: 0
问题 女,50岁,左下颈部扪及一质硬、表面高低不平的包块,肿块逐渐增大,现感吞咽困难,CT如图所示,最可能诊断为()
选项 A.甲状腺癌 B.食管癌 C.喉癌 D.甲状腺原发淋巴瘤 E.颈部神经鞘瘤
答案 A
解析

猜你喜欢

发表评论
更多 网友评论0 条评论)
暂无评论

访问排行

Copyright © 2012-2014 恰考网 Inc. 保留所有权利。 Powered by tikuer.com

页面耗时0.0353秒, 内存占用1.03 MB, Cache:redis,访问数据库20次