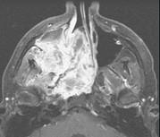
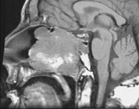
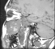
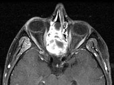
15岁,男性,渐进性鼻塞1年余,MRI扫描如图所示,请选择最可能诊断()A.鼻咽部纤维血管瘤B.鼻咽部脓肿C.脊索瘤D.鼻咽部...

作者: rantiku 人气: - 评论: 0
问题 15岁,男性,渐进性鼻塞1年余,MRI扫描如图所示,请选择最可能诊断()
选项 A.鼻咽部纤维血管瘤 B.鼻咽部脓肿 C.脊索瘤 D.鼻咽部囊肿 E.鼻咽癌
答案 A
解析

猜你喜欢

发表评论
更多 网友评论0 条评论)
暂无评论

访问排行

Copyright © 2012-2014 恰考网 Inc. 保留所有权利。 Powered by tikuer.com

页面耗时0.0466秒, 内存占用1.03 MB, Cache:redis,访问数据库17次