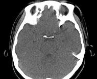
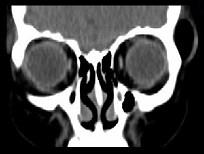
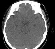
女,31岁,在左眶外上缘发现一包块,质软,余所见无明显异常.如图所示病灶应诊断为()A.畸胎瘤B.错构瘤C.脂肪瘤D.表皮样囊...

作者: rantiku 人气: - 评论: 0
问题 女,31岁,在左眶外上缘发现一包块,质软,余所见无明显异常.如图所示病灶应诊断为()
选项 A.畸胎瘤 B.错构瘤 C.脂肪瘤 D.表皮样囊肿 E.淋巴管瘤
答案 C
解析

猜你喜欢

发表评论
更多 网友评论0 条评论)
暂无评论

访问排行

Copyright © 2012-2014 恰考网 Inc. 保留所有权利。 Powered by tikuer.com

页面耗时0.0442秒, 内存占用1.03 MB, Cache:redis,访问数据库20次