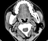
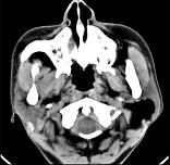
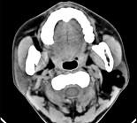
女性,50岁,左侧面部肿胀,CT检查如图,应考虑为()A.左侧腮腺囊腺瘤B.左侧腮腺囊肿C.左侧腮腺脂肪瘤D.左侧腮腺错构瘤 ...

作者: rantiku 人气: - 评论: 0
问题 女性,50岁,左侧面部肿胀,CT检查如图,应考虑为()
选项 A.左侧腮腺囊腺瘤 B.左侧腮腺囊肿 C.左侧腮腺脂肪瘤 D.左侧腮腺错构瘤 E.左侧腮腺炎
答案 C
解析

猜你喜欢

发表评论
更多 网友评论0 条评论)
暂无评论

访问排行

Copyright © 2012-2014 恰考网 Inc. 保留所有权利。 Powered by tikuer.com

页面耗时0.0432秒, 内存占用1.03 MB, Cache:redis,访问数据库15次