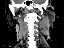
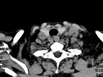
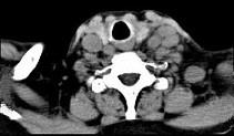
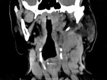
女,69岁,低热、乏力三月余,消瘦,食欲不佳,PE:腹股沟触及多个肿大的淋巴结,质较硬,尚可移动,CT如图所示,最可能诊断为()A.淋巴瘤...

作者: rantiku 人气: - 评论: 0
问题 女,69岁,低热、乏力三月余,消瘦,食欲不佳,PE:腹股沟触及多个肿大的淋巴结,质较硬,尚可移动,CT如图所示,最可能诊断为()
选项 A.淋巴瘤 B.颈淋巴结结核 C.颈淋巴结结核 D.结节病 E.淋巴结炎
答案 A
解析

猜你喜欢

发表评论
更多 网友评论0 条评论)
暂无评论

访问排行

Copyright © 2012-2014 恰考网 Inc. 保留所有权利。 Powered by tikuer.com

页面耗时0.0506秒, 内存占用1.03 MB, Cache:redis,访问数据库20次