女性,53岁,右侧鼻腔流血近1年,近来头痛,行CT检查如图所示,请选择正确的答案()A.鼻腔癌B.鼻腔内息肉C.副鼻窦炎D.鼻...

作者: rantiku 人气: - 评论: 0
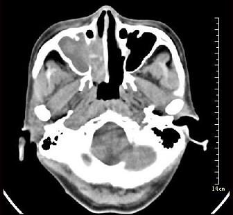
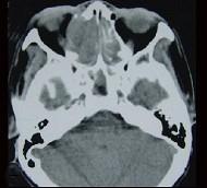
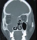
问题 女性,53岁,右侧鼻腔流血近1年,近来头痛,行CT检查如图所示,请选择正确的答案()
选项 A.鼻腔癌 B.鼻腔内息肉 C.副鼻窦炎 D.鼻腔炎性假瘤 E.鼻腔内血管瘤
答案 A
解析

猜你喜欢

发表评论
更多 网友评论0 条评论)
暂无评论

访问排行

Copyright © 2012-2014 恰考网 Inc. 保留所有权利。 Powered by tikuer.com

页面耗时0.0544秒, 内存占用1.03 MB, Cache:redis,访问数据库20次