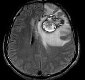
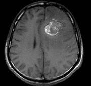
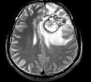
男,34岁,3个月前行左额叶脑肿瘤切除术,近1个月又感头痛无恶心呕吐,近1周来又觉双下肢无力,并失语,请根据所提供图像,选择最可能的诊断()A...

作者: rantiku 人气: - 评论: 0
问题 男,34岁,3个月前行左额叶脑肿瘤切除术,近1个月又感头痛无恶心呕吐,近1周来又觉双下肢无力,并失语,请根据所提供图像,选择最可能的诊断()
选项 A.(左额叶)星形细胞Ⅱ级伴出血坏死(复发性) B.(左额叶)脑出血 C.(左额叶)海绵状血管瘤 D.(左额叶)动静脉血管畸形 E.(左额叶)脑肿瘤术后
答案 A
解析

猜你喜欢

发表评论
更多 网友评论0 条评论)
暂无评论

访问排行

Copyright © 2012-2014 恰考网 Inc. 保留所有权利。 Powered by tikuer.com

页面耗时0.0379秒, 内存占用1.03 MB, Cache:redis,访问数据库20次