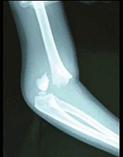
图示骨折,最易损伤 ( )A、肱动、静脉B、桡神经C、肱三头肌D、肌皮神经E、肱二头肌

作者: rantiku 人气: - 评论: 0
问题 图示骨折,最易损伤 ( )
选项 A、肱动、静脉 B、桡神经 C、肱三头肌 D、肌皮神经 E、肱二头肌
答案 A
解析

猜你喜欢

发表评论
更多 网友评论0 条评论)
暂无评论

访问排行

Copyright © 2012-2014 恰考网 Inc. 保留所有权利。 Powered by tikuer.com

页面耗时0.0483秒, 内存占用1.03 MB, Cache:redis,访问数据库15次