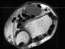
男,69岁,腕部肿块1年,结合 图像,最可能的诊断是 ( )A、肌内脂肪瘤B、未见异常C、腕部腱鞘脓肿D、腱鞘巨细胞瘤E、...

作者: rantiku 人气: - 评论: 0
问题 男,69岁,腕部肿块1年,结合 图像,最可能的诊断是 ( )
选项 A、肌内脂肪瘤 B、未见异常 C、腕部腱鞘脓肿 D、腱鞘巨细胞瘤 E、腕部腱鞘囊肿
答案 E
解析

猜你喜欢

发表评论
更多 网友评论0 条评论)
暂无评论

访问排行

Copyright © 2012-2014 恰考网 Inc. 保留所有权利。 Powered by tikuer.com

页面耗时0.0655秒, 内存占用1.03 MB, Cache:redis,访问数据库18次