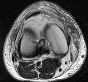
男,39岁,右膝关节有外伤史,感膝关节疼痛,活动后加剧,请结合所提供的图像,选择最佳选项 ( )A、胫骨骨折B、后十字韧带撕裂C、...

作者: rantiku 人气: - 评论: 0
问题 男,39岁,右膝关节有外伤史,感膝关节疼痛,活动后加剧,请结合所提供的图像,选择最佳选项 ( )
选项 A、胫骨骨折 B、后十字韧带撕裂 C、前十字韧带撕裂 D、内侧半月板撕裂 E、未见异常
答案 B
解析

猜你喜欢

发表评论
更多 网友评论0 条评论)
暂无评论

访问排行

Copyright © 2012-2014 恰考网 Inc. 保留所有权利。 Powered by tikuer.com

页面耗时0.0471秒, 内存占用1.03 MB, Cache:redis,访问数据库17次